你提供的照片可能用于改善必应图片处理服务。
隐私政策
|
使用条款
无法使用此链接。检查链接是否以 "http://" 或 "https://" 开头,然后重试。
无法处理此搜索。请尝试其他图像或关键字。
试用视觉搜索
使用图像搜索、识别对象和文本、翻译或解决问题
将一个或多个图像拖到此处,
上传图像
或
打开相机
将图像放置到任意位置以开始搜索
要使用可视化搜索,请在浏览器中启用相机
English
全部
搜索
图片
灵感
创建
集合
视频
地图
资讯
更多
购物
航班
旅游
笔记本
自动播放所有 GIF
在这里更改自动播放及其他图像设置
自动播放所有 GIF
拨动开关以打开
自动播放 GIF
图片尺寸
全部
小
中
大
特大
至少... *
自定义宽度
x
自定义高度
像素
请为宽度和高度输入一个数字
颜色
全部
仅限颜色
黑白
类型
全部
照片
剪贴画
素描
动画 GIF
透明
版式
全部
方形
横版
高
人物
全部
仅脸部
半身像
日期
全部
过去 24 小时
过去一周
过去一个月
去年
授权
全部
所有创作共用
公共领域
免费分享和使用
在商业上免费分享和使用
免费修改、分享和使用
在商业上免费修改、分享和使用
详细了解
清除筛选条件
安全搜索:
中等
严格
中等(默认)
关闭
筛选器
684×453
researchgate.net
Different normalization methods Normalization function | Download Table
850×440
ResearchGate
Normalization methods. | Download Scientific Diagram
640×640
researchgate.net
Normalization methods | Download Table
850×657
researchgate.net
Data normalization methods [20] | Download Scientific Diagram
850×531
ResearchGate
Normalization methods | Download Table
850×277
researchgate.net
Normalization methods | Download Table
850×471
researchgate.net
18: Comparison of different normalization methods. Using no ...
744×342
estuary.dev
Data Normalization Explained: Types, Examples, & Methods | Estuary
949×610
estuary.dev
Data Normalization Explained: Types, Examples, & Methods | Estuary
1024×768
SlideServe
PPT - Normalization and Other Data Modeling Methods Power…
1024×768
SlideServe
PPT - Normalization and Other Data Modeling Methods Power…
850×324
researchgate.net
Comparison of data normalization methods. The proposed data ...
1920×1080
dataaspirant.com
Four Most Popular Data Normalization Techniques Every Data Scientist ...
768×566
dataaspirant.com
Four Most Popular Data Normalization Techniques Every Data Scientist ...
1920×1080
dataaspirant.com
Four Most Popular Data Normalization Techniques Every Data Scientist ...
1536×864
dataaspirant.com
Four Most Popular Data Normalization Techniques Every D…
1536×864
dataaspirant.com
Four Most Popular Data Normalization Techniques Every D…
1024×768
SlideServe
PPT - Normalization and Other Data Modeling Methods PowerP…
888×490
fity.club
Normalization Database
996×560
fity.club
Normalization Of Data
1024×1024
medium.com
Different Normalization methods. Data normalization …
1358×1358
medium.com
16 Data Normalization Methods Using Pyth…
1080×1080
medium.com
16 Data Normalization Methods Using Pyth…
1024×768
hevodata.com
Data Normalization Techniques in Data Mining | Hevo
320×320
researchgate.net
Comparison of several normalization methods av…
2048×1536
slideshare.net
Data normalization techniques | PPT
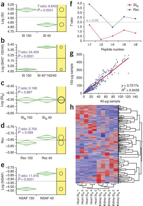
681×815
researchgate.net
Summary statistics for performance of differ…
714×376
researchgate.net
Visualization diagrams of two normalization methods, (a) is the diagram ...
320×320
researchgate.net
Visualization diagrams of two normalization …
1083×466
linkedin.com
Data Normalization and Machine learning
850×1220
ResearchGate
Statistical analysis of nor…
731×670
researchgate.net
Summary of normalization methods…
850×495
researchgate.net
The comparison between analyzed normalization methods for 250 models ...
850×199
researchgate.net
Summary of normalization methods combined with statistical tests in ...
1344×960
coayala.github.io
Chapter 3 Data Exploration and Normalization | ENVS 567 - Advance…
某些结果已被隐藏,因为你可能无法访问这些结果。
显示无法访问的结果
报告不当内容
请选择下列任一选项。
无关
低俗内容
成人
儿童性侵犯
反馈